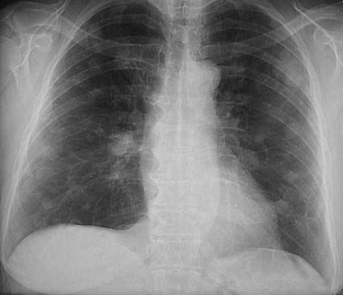
This chest radiograph reveals the presence of multiple rounded masses in all lung fields. These are metastases.