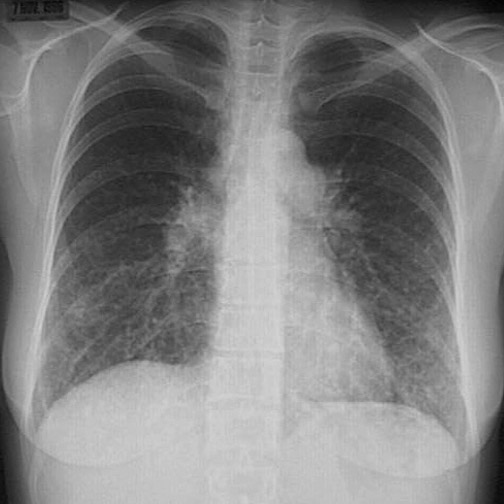
This chest radiograph demonstrates a diffuse finely nodular pattern resulting from multiple small metastases to the lung from a colonic adenocarcinoma. This radiograph was taken at the time the patient became symptomatic.