 |
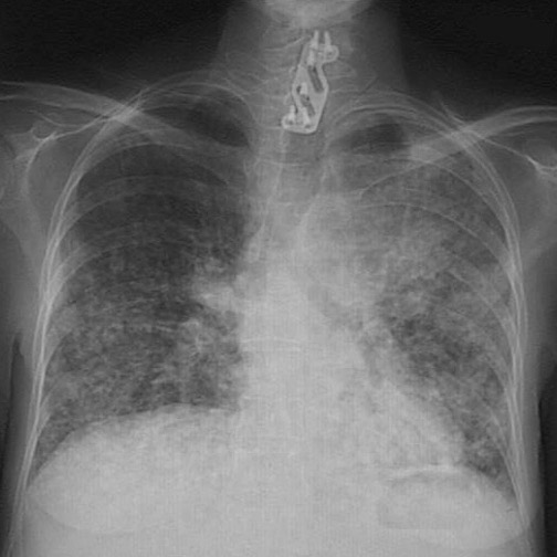
This chest radiograph demonstrates a more coarsely nodular pattern resulting from multiple metastases to the lung from a colonic adenocarcinoma. This is the same patient as the previous radiograph, but at a later point in the course. (The plate and screws in the cervical spine repaired a pathologic fracture from metastasis).
|