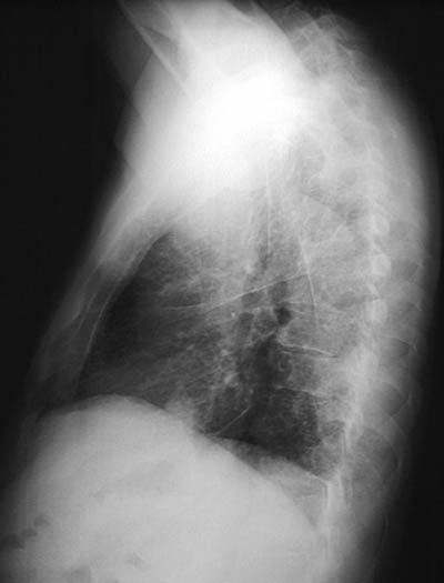
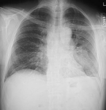
The chest radiograph above in PA view and lateral view below demonstrate a diffuse reticular and nodular pattern of involvement by metastatic carcinoma spreading into the lymphatic channels of the lung.