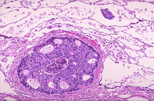
Both lymphatic and hematogenous spread of malignant neoplasms is possible to distant sites. Here, a breast carcinoma has spread to a lymphatic within the lung.