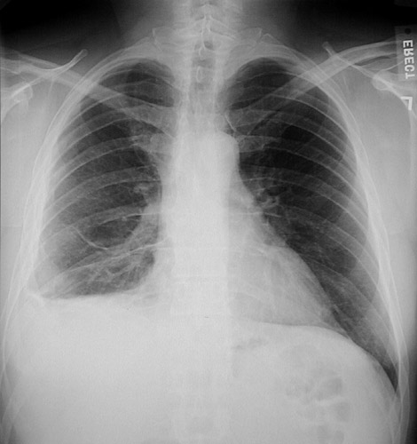
This chest radiograph shows a right pleural mass that is characterized by pleural thickening, volume loss of the right lower lobe, and obscuration of the diaphragmatic dome.