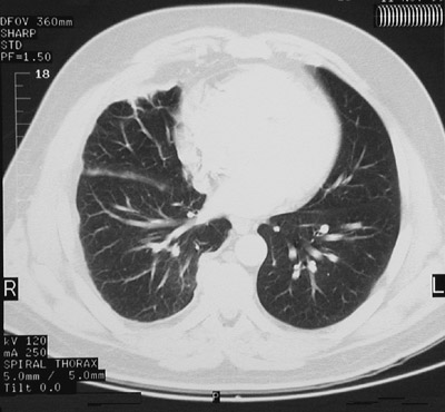
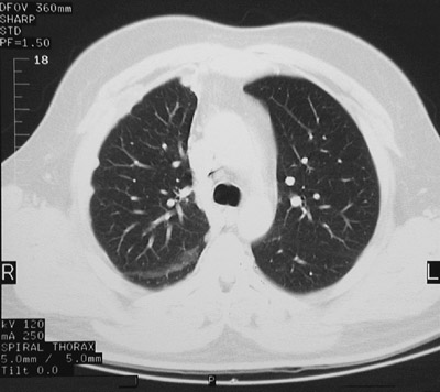
This chest CT scan in "lung window" demonstrates a mesothelioma involving the right pleura with thickening and nodularity. The neoplasm is seen near the base of the lung above and the upper lung below.