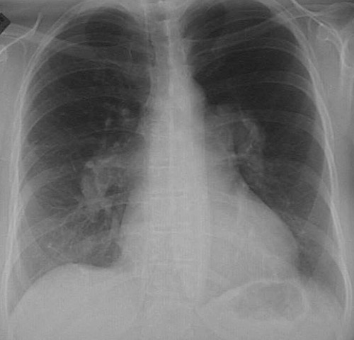
![]() | This chest radiograph demonstrates prominent dilated pulmonary arteries branching from the hila. This patient had the rare condition of primary pulmonary hypertension, without an underlying restrictive or obstructive lung disease to account for the hypertension. |
![]() |