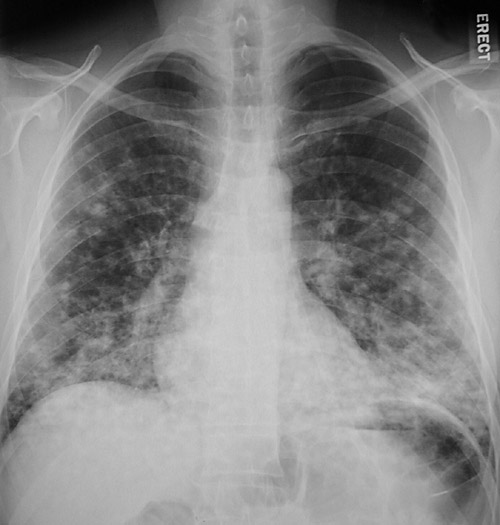
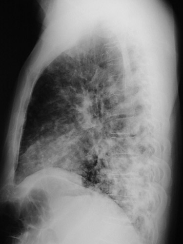
| The numerous irregular 0.5 to 1 cm nodular opacities seen here in a PA view above and lateral view below in the lung are more prominent posteriorly and inferiorly. This patient proved to have bronchiolitis obliterans with organizing pneumonia (BOOP). |
![]() |