 |
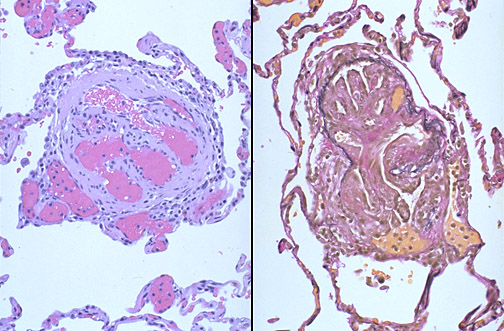
Both restrictive and obstructive lung diseases can affect the pulmonary arterial circulation. The loss of normal lung parenchyma leads to pulmonary hypertension that leads to thickening of the small arteries along with reduplication to form a plexiform lesion, as seen here in a peripheral pulmonary artery, one the left with H&E stain and on the right with elastic tissue stain. |