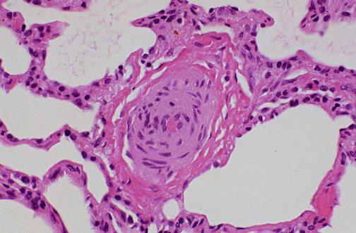
Seen with pulmonary hypertension are small peripheral pulmonary arteries that are quite thickened. The larger pulmonary arteries demonstrate atherosclerosis with pulmonary hypertension.