
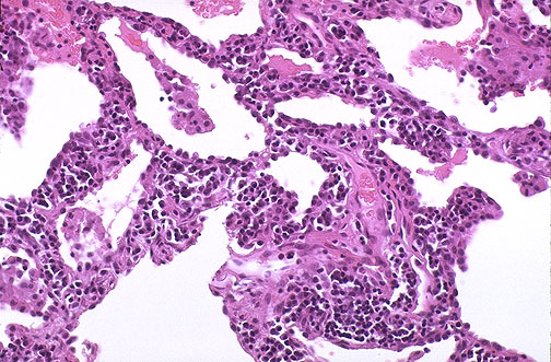
| This is an example of lymphocytic interstitial pneumonitis (LIP) in which small lymphocytes fill the interstitium and perivascular regions of the lung. This disease appears uncommonly in adults with autoimmune diseases. It is uncommon in children except in the setting of AIDS. |
![]() |