
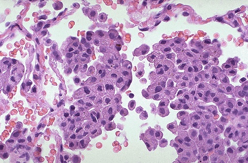
| This is an example of an uncommon pattern of injury called desquamative interstitial pneumonitis (DIP) that is characterized by a proliferation of alveolar macrophages (not desquamated type II cells as originally thought) filling the alveoli. Though some of these cases go on to diffuse interstitial fibrosis, many of the patients respond better to corticosteroid therapy than patients with other causes for interstitial fibrosis. |
![]() |