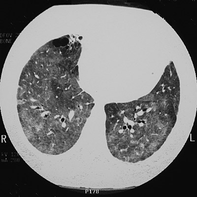
| This CT scan of the chest with the "lung window" setting reveals extensive irregular opacifications in all lung fields as a consequence of pulmonary alveolar proteinosis. The view in the upper lobes seen below demonstrates that the process is decreased toward the periphery. |
![]() |