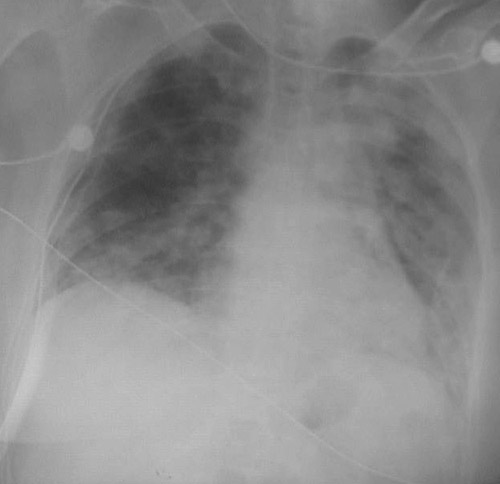
This chest radiograph demonstrates a worsening of the fluffy infiltrates in all lung fields as a consequence of pulmonary alveolar proteinosis.