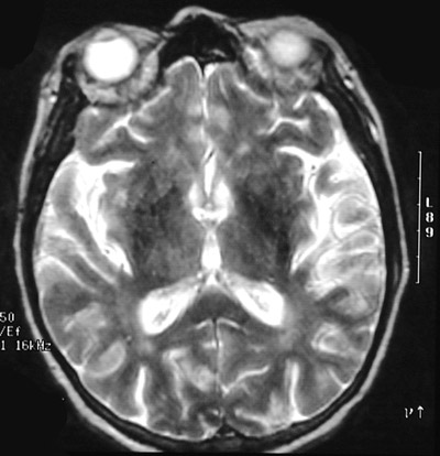
![]() | This T2 weighted MRI scan in axial view reveals a carcinomatous meningitis characterized by thick areas of brightness overlying the cortex and in the sulci. Breast carcinomas can, on occasion, metastasize in this fashion, but other cancers can rarely do so as well. |
![]() |