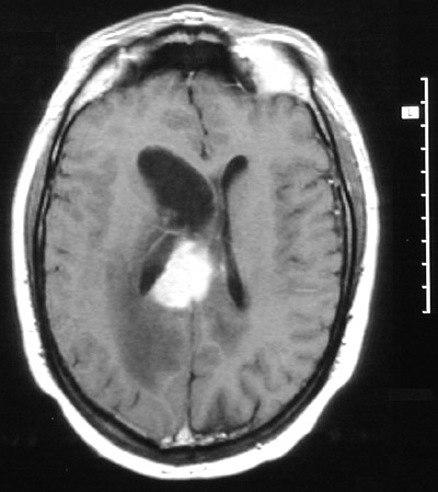
| This MRI scan of the head in axial view demonstrates an enhancing periventricular mass with prominent adjacent vasogenic edema. This is a central nervous system lymphoma. CNS lymphomas can occur in patients with AIDS but also in persons without an underlying disease state. |
![]() |