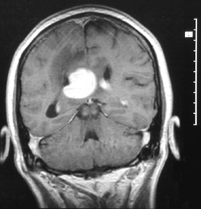
This MRI scan of the head in coronal view demonstrates an enhancing
periventricular mass
with prominent adjacent
vasogenic edema
. This is a non-Hodgkin's lymphoma.