
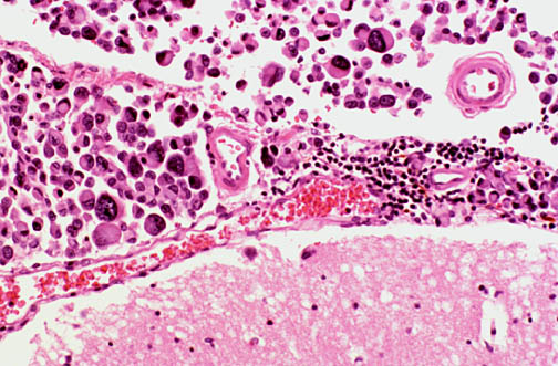
![]() | There is meningeal clouding as a result of carcinomatous meningitis, a less common form of metastases in which the malignant cells are found primarily in the leptomeninges, as seen at high magnification microscopically below. Breast cancer is the most likely primary site for this pattern, but any carcinoma can potentially do this. |
![]() |