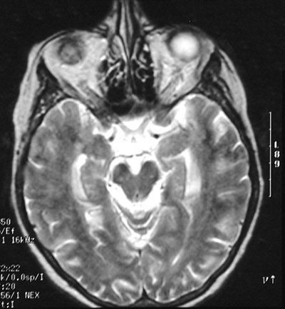
| The T2 weighted MRI scans in axial view above and below show areas of brightness at the base of the brain, particularly around the brainstem, as a result of a carcinomatous meningitis. This is an uncommon pattern of metastases in which the tumor diffusely infiltrates the meninges, either with or without a mass effect. |
![]() |