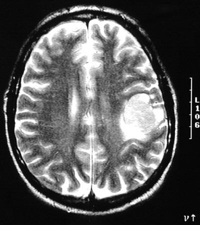
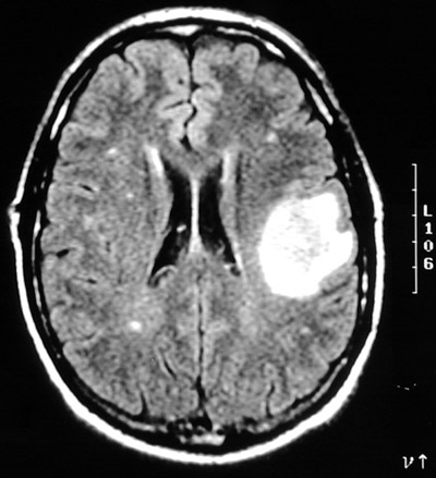
| These MRI scans in axial view, T2 weighted above and FLAIR below, demonstrate an enhancing solitary mass with minimal adjacent edema. This is a solitary metastasis from a pulmonary adenocarcinoma. In adults, metastases are more common than primary brain tumors. Typical primary sites include lung, breast, and kidney. |
![]() |