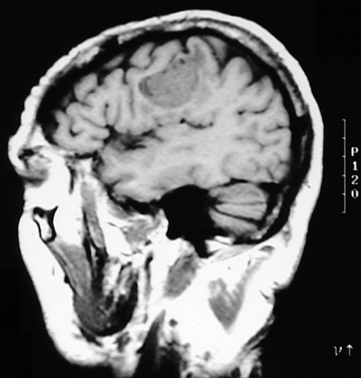
| These T1 weighted MRI scans in axial view above and sagittal view below demonstrate a solitary mass with minimal adjacent edema located in the cortex near the grey-white junction. This lesion in a middle aged male proved to be a metastasis from a pulmonary adenocarcinoma. |
![]() |