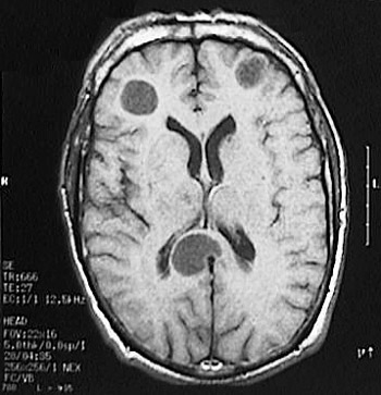
Click on one of the larger metastases in the MRI scan above:

This magnetic resonance imaging (MRI) scan of the head in transverse (axial) view reveals the presence of several centrally cystic, well-circumscribed metastatic tumor nodules in the brain.