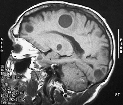
Click on a metastasis in the MRI scan above:

This magnetic resonance imaging (MRI) scan of the head in sagittal view reveals the presence of several well-circumscribed metastatic tumor nodules of the brain.