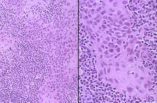
Seen here at medium and high microscopic magnification is a nasopharyngeal carcinoma. These carcinomas have features of squamous cell carcinoma with a prominent lymphoid component. Many are associated with Epstein-Barr virus (EBV) infection.