 |
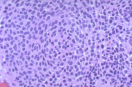
These primitive small blue cells form a primitive neuroectodermal tumor (PNET), an uncommon lesion of the nasal cavity also known as an olfactory neuroblastoma. Other tumors that have a similar appearance and histogenesis may include medulloblastomas of the CNS and Ewing sarcoma of bone. |