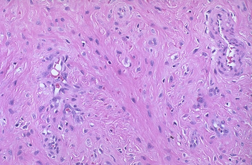
This nasal angiofibroma is benign, but can block the nasal passages, erode adjacent structures, ulcerate, and bleed. The fibrous stroma has plump fibroblastic cells along with scattered capillaries.