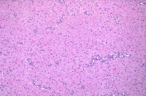
Here is a nasal angiofibroma. This lesion is uncommon, but most often occurs in young males. Note the vascularity at low power.