
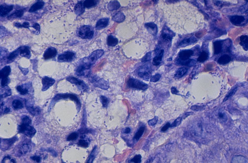
| The causative agent of rhinoscleroma is the organism Klebsiella rhinoscleromatis, a gram negative bacillus that can be cultured from biopsy of the lesions in most cases. It is minimally contagious. With a Giemsa stain, these bacilli are seen here as small blue rods within the Mikulicz cells. |
![]() |