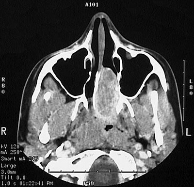
This CT scan of the head reveals an angiofibroma filling and expanding the nasal cavity on the left.