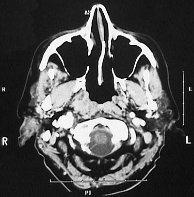
This head CT scan with contrast seen in axial view above demonstrates a 3 cm nasopharyngeal carcinoma on the right between the pterygoid plate anteriorly and the prevertebral and right carotid space posteriorly. In the coronal view below, this nasopharyngeal carcinoma is also seen.


Click on the neoplasm in the CT scan above: