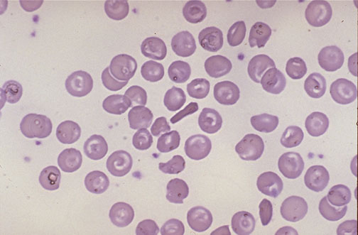
A peripheral blood smear of a patient with hemoglobin SC disease is shown here. There are many target cells, along with a hemoglobin C crystal at the center.