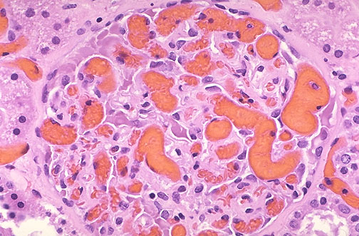
A glomerulus is seen with capillary loops engorged with sickled, conglutinated RBC's. This occurred with hypoxia in a patient with hemoglobin SC disease.