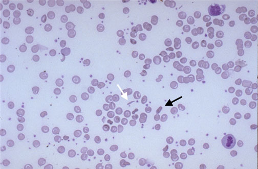
A peripheral blood smear of a patient with hemoglobin SC disease is shown here. There are many target cells, a crystal (more typical of hemoglobin C diseaase) at the black arrow, and a sickled cell at the white arrow.