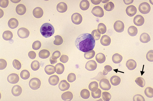
A peripheral blood smear of a patient with hemoglobin SC disease is shown here. There is leukoerythroblastosis, marked by a peculiar nucleated RBC at left center and by a myelocyte near center. Note at the arrows the odd "SC poikilocytes".