
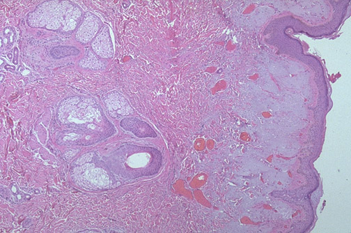
| Sun exposure damages the skin, primarily as the result of ultraviolet light exposure (the damaging effect of UVB rays is more than that of UVA rays). This actinic damage manifests itself as a collection of abnormal collagen fibers in the upper dermis, seen here with a pale bluish appearance (basophilic degeneration). The result is increased wrinking of the skin and an increased risk for skin cancer. |
![]() |