
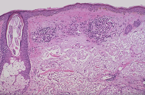
| Actinic damage is seen here at medium power, with the damaged collagen and elastic fibers appearing as a homogenous pale blue area. With more extensive solar damage, there can be inflammation, as seen here. Fair-skinned persons are at greater risk. This actinic damage is cumulative and non-reversible. |
![]() |