
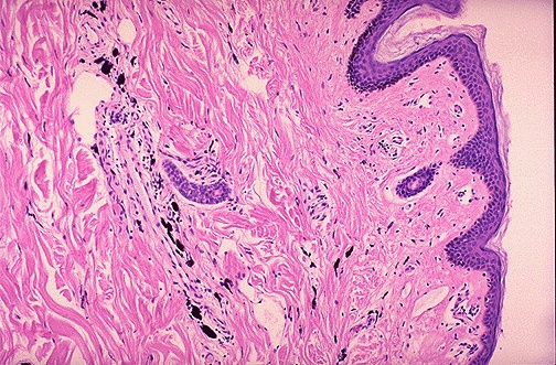
| This is the microscopic appearance of tattoo pigment (black) in the dermis. Note that this pigment is well within the dermis and, therefore, difficult to remove. Therefore, removing or changing a tattoo is difficult. Cosmetic surgery is not covered by insurance, either. |
![]() |