
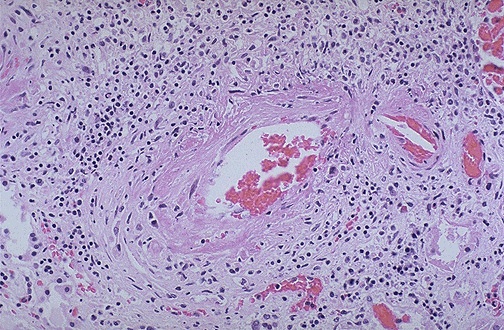
| Here is a vasculitis of a renal arterial branch. Lymphocytes are scattered in and around the vessel. This happens to be the classic form of polyarteritis nodosa (PAN), a systemic vasculitis that most often affects the kidneys. The ANCA serology is often negative. |
![]() |