
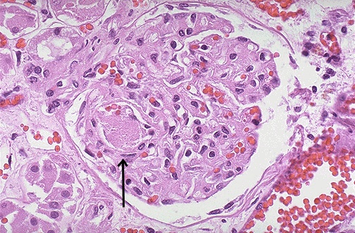
| A small platelet-fibrin thrombus is seen in a glomerular capillary above the arrow. This occurred in a patient with thrombotic thrombocytopenic purpura (TTP). This rare coagulopathy mainly affects kidneys, heart, and brain with small arteriolar thrombi. Acute renal failure can occur. The classic pentad of fever, acute renal failure, neurologic changes, thrombocytopenia, and microangiopathic hemolytic anemia is often present. TTP results from a congenital or more often acquired defect in the ADAMTS-13 metalloproteinase enzyme that cleaves vonWillebrand factor (vWF) multimers, and the large multimers lead to abnormal platelet aggregation. TTP overlaps with hemolytic uremic syndrome (HUS) that may be precipitated by verotoxins from such organisms as E. coli (type O157:H7) that cause endothelial injury. |
![]() |