
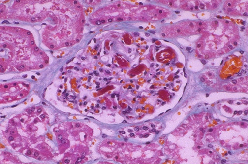
| Very similar to thrombotic thrombocytopenic purpura (TTP) is hemolytic-uremic syndrome (HUS). The two conditions may be difficult to tell apart. HUS can be a leading cause for acute renal failure in children. Ingestion of foods, such as poorly cooked ground beef, introduces a verotoxin-producing E. coli infection into the GI tract. Such strains are often identified by serotyping, typically type O157:H7. A bloody diarrhea is followed in a few days by renal failure caused by endothelial injury from the toxin, leading to the characteristic fibrin thrombi in glomerular and interstitial capillaries. Most patients recover in a few weeks with supportive dialysis. |
![]() |