
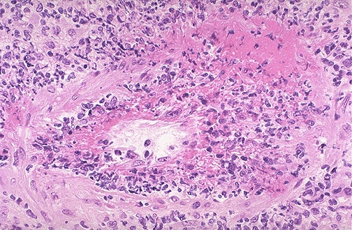
| At high power, the vasculitis is seen to involve a renal artery branch. This is a necrotizing granulomatous vasculitis. In this case, the anti-neutrophil cytoplasmic autoantibody (ANCA) serology was positive and a diagnosis of Wegener granulomatosis was made. This patient also had pulmonary involvement with this disease. |
![]() |