
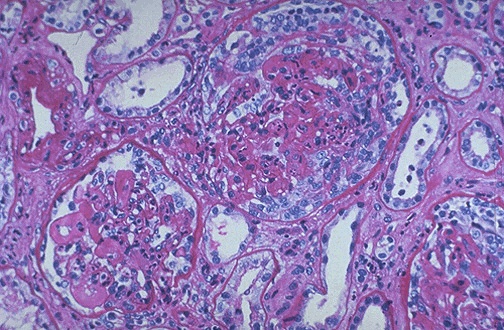
| Seen here within the glomeruli are crescents composed of proliferating epithelial cells. Crescentic glomerulonephritis is known as rapidly progressive glomerulonephritis (RPGN) because this disease is very progressive. There are several causes, and in this case is due to SLE. Note in the lower left glomerulus that the capillary loops are markedly thickened (the so-called "wire loop" lesion of lupus nephritis). |
![]() |