
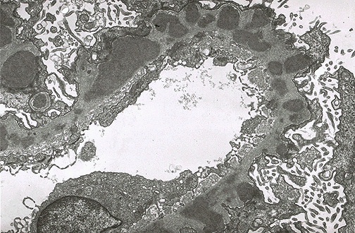
| By electron microscopy in membranous glomerulonephritis, the darker electron dense immune deposits are seen scattered within the thickened basement membrane. The "spikes" seen with the silver stain represent the intervening matrix of basement membrane between the deposits. |
![]() |