
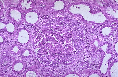
| Here is another glomerulus with epithelial crescents squashing the glomerular tufts from all sides. RPGN may be idiopathic or may result from SLE, post-infectious GN (as in some cases of post-infectious GN), from various types of vasculitis, and from Goodpasture syndrome. |
![]() |