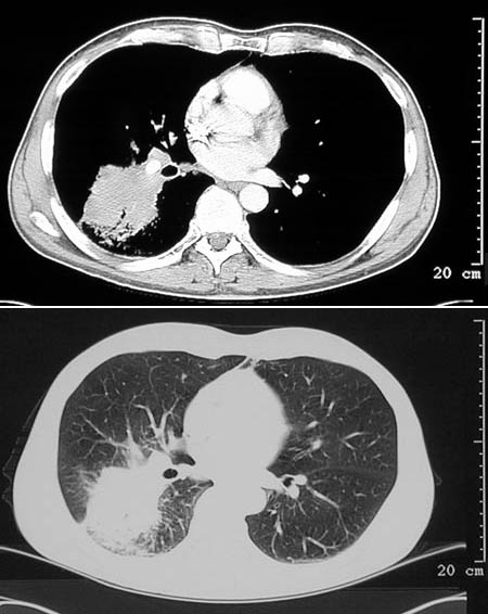
| This chest CT scan in bone window above and lung window below demonstrates an abscess that resembles a tumor mass. Note that this lesion infiltrates to the chest wall. Biopsy revealed Actinomyces israeli infection as the etiology. Both Actinomyces israeli and Nocardia braziliensis are long filamentous bacteria that produce lesions resembling abscesses or fungal granulomas. These organisms are more likely to infect immunocompromised persons. |
![]() |