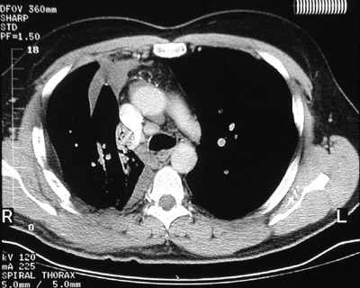
There is atelectasis involving the right upper lobe in this chest CT scan as a result of bronchial obstruction. The area of collapsed lung is dense mottled grey compared to the black adjacent aerated lung as seen in "bone window" setting.