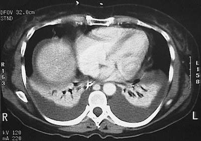
The chest CT scan above demonstrates a bilateral posterior pleural effusions in a patient with congestive heart failure. The fluid layers posteriorly in this patient who is lying down during the CT procedure.