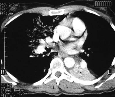
The scattered floccular bright areas are seen involving mainly the right upper lobe in this chest CT scan. There is also atelectasis of the left lower lobe from aspiration with bronchial obstruction.