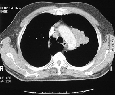
| This chest CT scan in "bone window" highlights a large, solitary hilar mass that proved to be a squamous cell carcinoma of the left upper lobe of lung. Since squamous cell carcinomas are often endobronchial in origin, they can exfoliate cells that can be found in sputum samples for cytologic analysis. They can be seen and biopsied on bronchoscopy. Unfortunately, these are often late findings. |
![]() |